description

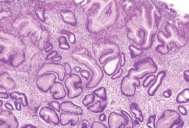
By Prateek Sharma, MD, with Jillian Mock This edition of Sharma’s Endoscopy Insights focuses on gastric hyperplastic polyps and the role of prophylactic clipping during colorectal endoscopic submucosal dissection. Gastric hyperplastic polyps have bee... [4102 chars].. reed more